Skip to content
Search:
Search
care@cornea.co.in
Facebook page opens in new windowTwitter page opens in new windowPinterest page opens in new windowInstagram page opens in new window
Cornea
Comprehensive Eye Care for every generation
CorneaCornea
+91 9624650880Above Subway, Darshanam Arise, Nr Gotri Talav, Gotri - Sevasi Rd, Gotri, Vadodara

Above Subway, Darshanam Arise, Nr Gotri Talav,
Gotri - Sevasi Rd, Gotri, Vadodara

+91 9624650880

Request an appointment

  • Home
  • About Us
    • About Doctor
    • Equipments
    • Covid-19 Safety
    • Photo Gallery
    • Testimonials
    • Our Hospital
  • Expertise
  • Pre & Post
  • Video Gallery
  • Scientific Content
    • Corneal Findings
    • Eye Diseases
    • Various RK
    • Dendrites
    • Retroillumination
  • Blog
  • FAQs
    • Keratoconus
    • Collagen Cross-Linking
    • PK (Penetrating Keratoplasty)
    • DSEK
    • DALK
    • Chemical Burn
    • Corneal Ulcer
    • Dry Eye
  • Contact
  • Home
  • About Us
    • About Doctor
    • Equipments
    • Covid-19 Safety
    • Photo Gallery
    • Testimonials
    • Our Hospital
  • Expertise
  • Pre & Post
  • Video Gallery
  • Scientific Content
    • Corneal Findings
    • Eye Diseases
    • Various RK
    • Dendrites
    • Retroillumination
  • Blog
  • FAQs
    • Keratoconus
    • Collagen Cross-Linking
    • PK (Penetrating Keratoplasty)
    • DSEK
    • DALK
    • Chemical Burn
    • Corneal Ulcer
    • Dry Eye
  • Contact

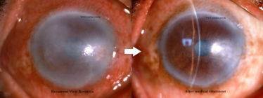
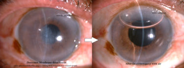
Pre & Post

You are here:
  1. Home
  2. Pre & Post
Load more
Cornea
Ⓒ Cornea Eye Hospital 2020. All rights reserved.
Go to Top